EGPA (Churg-Strauss-Syndrom) – Symptome und Behandlung

EGPA ist eine seltene Form der Vaskulitis, die durch eine Entzündung und Schädigung der Blutgefäße gekennzeichnet. Wir informieren über Diagnostik und Therapie.

Eosinophile Granulomatose mit Polyangiitis

Ursachen und Pathophysiologie

Die genaue Ursache der EGPA ist nicht bekannt, aber es wird vermutet, dass sie mit einer abnormen Immunreaktion auf bestimmte Allergene oder Infektionen zusammenhängt. Die Krankheit tritt häufiger bei Menschen mit einer Vorgeschichte von Allergien oder Asthma auf. Pathophysiologisch wird das betroffene Gewebe von eosinophilen Granulozyten infiltriert. Betroffen sind vor allem kleinere und mittlere Arterien der Lunge und anderer Organe.

Die Erstbeschreibung erfolgte 1951 von den Pathologen Jacob Churg und Lotte Strauss.

Epidemiologie

Die Erkrankung ist sehr selten. Betroffen sind pro Jahr 1-3 unter 1 Million Menschen. Das Durchschnittsalter der Erstdiagnose liegt bei 48 Jahren. Frauen erkranken etwas häufiger.

Symptome

Die Symptome der EGPA können je nach den betroffenen Organen und Blutgefäßen variieren. Häufige Symptome sind Sinusitis, Asthma und Nasenpolypen sowie periphere Neuropathie, Hautausschläge und Fieber. In schweren Fällen kann EGPA zu Organschäden führen, einschließlich Lungen, Herz und Nieren.2

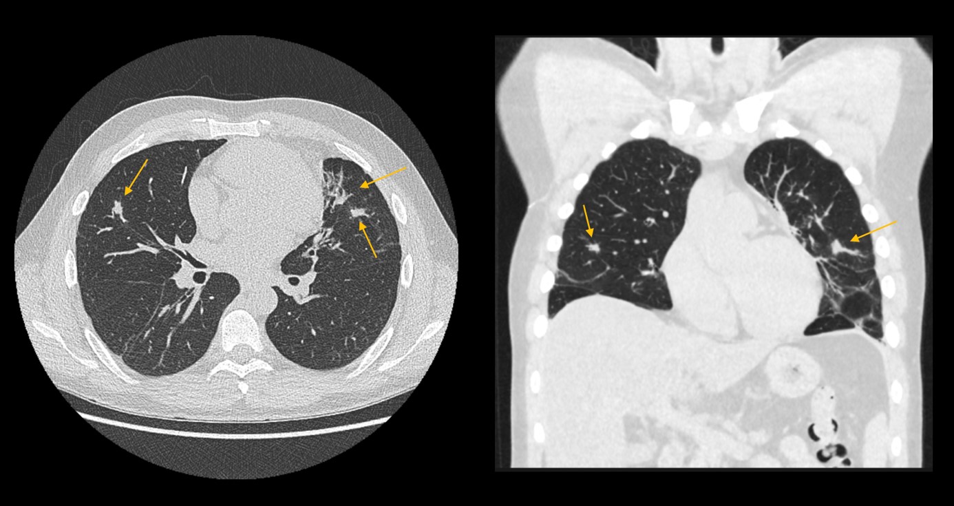
kasuistik_egpa_rare-disease-..

Kasus: 53-jähriger Patient mit bekanntem Asthma Bronchiale, Husten und Luftnot. In der Computertomographie zeigten sich multiple, dignitätsunklare bipulmonale Verdichtungen. Bei hochgradigem V.a. EGPA wurde auf eine Biopsie verzichtet. Eine Therapie mit Hochdosiskortison wurde eingeleitet. In der Verlaufskontrolle nach drei Monaten zeigten sich alle pulmonalen Herde weitgehend regredient.

Diagnose

Die Diagnose der EGPA basiert auf dem Vorhandensein bestimmter klinischer und laborchemischer Merkmale, darunter hohe Konzentrationen von eosinophilen Granulozyten. In 40% der Fälle werden pANCA nachgewiesen, in seltenen Fällen auch cANCA. Die Computertomographie spielt ebenfalls eine wichtige Rolle, um andere Ursachen für die pulmonalen Beschwerden auszuschließen. Es gibt keine pathognomonischen Lungenbefunde für die EGPA. Milchglasartige bipulmonale Verdichtungen wurden jedoch häufig beschrieben.

Behandlung und Prognose

Die Behandlung von EGPA umfasst in der Regel eine Kombination aus immunsuppressiven Medikamenten wie Kortikosteroiden und Mepolizumab, um die Entzündung zu verringern und Schäden an den Blutgefäßen zu verhindern, sowie Medikamente zur Behandlung bestimmter Symptome wie Bronchodilatatoren bei Asthma und Antihistaminika bei Allergien. Neuerdings gibt es neue Ansätze mit Immuntherapie.3

Die Prognose der EGPA ist bei frühzeitiger Diagnose und Therapie im Allgemeinen gut, kann aber im Falle von Organschäden oder Bösartigkeit im Einzelfall auch sehr ungünstig sein.

Referenzen:

  1. Rupert Jakes, Namhee Kwon, Rebecca Goulding, Beth Nordstrom, Kyle Fahrbach, Melissa Van Dyke: European Respiratory Journal 2020 56: 2592; DOI: 10.1183/13993003.congress-2020.2592
  2. Vaglio A, Moosig F, Zwerina J. Churg-Strauss syndrome: update on pathophysiology and treatment. Curr Opin Rheumatol (2012) 24(1):24–30. doi:10.1097/BOR.0b013e32834d85ce
  3. Puéchal X. Targeted immunotherapy strategies in ANCA-associated vasculitis. Joint Bone Spine. 2019 May;86(3):321-326. doi: 10.1016/j.jbspin.2018.09.002. Epub 2018 Sep 7. PMID: 30201478.

Rare Disease Day

230124-Rare-Disease-Day-Bann..Seit 2008 findet jedes Jahr Ende Februar der weltweite Tag der seltenen Erkrankungen statt. esanum begleitet den Tag und berichtet nicht nur über aktuelle Themen, sondern auch über mögliche Symptomkomplexe, Diagnostik, Therapieansätze und Orphan Drugs zur Behandlung von seltenen Krankheiten. Weitere Beiträge finden Sie im Themenspecial zum Rare Disease Day.